Paru Paru Berair Isteri Bertegas Tidak Mahu Suami Di Tebuk
Paru Paru Berair Cara Keluarkan Air Dari Paru Paru Secara Alami
Mengesan Punca Paru Paru Berair Keladi Tikus Penawar Kanser Facebook
Cara Rawat Paru Paru Berair Tanpa Ditebuk Umie Oh Umie
Punca Penyakit Paru Paru Berair Pencegahan Dan Rawatan Sentiasapanas
Rawatan Paru Paru Berair Isteri Bertegas Tidak Mahu Suami Di Tebuk
Paru Paru Berair Khairil Anwar Rusli
Berwaspada Dengan Penyakit Paru Paru Berair Dan Ketahui Rahsia Merawatnya Dengan Cepat Permata Ummi
Paru Paru Berair Strength Sifoo
Shaklee Karak Paru Paru Berair Kembali Normal Facebook
Tebuk Paru Paru Berair
Punca Paru Paru Berair Dan Cara Merawatnya Agar Kembali Sembuh Pengedar Shaklee Kota Damansara Pj
Paru Paru Berair Strength Sifoo
Atasi Paru Paru Berair Supaya Tidak Ditebuk Ayurosman
Paru Paru Berair Khairil Anwar Rusli
Cara Alternatif Merawat Paru Paru Berair Pneumonia Cepat Dan Berkesan
Rawatan Sakit Paru Paru Berair Sebelum Kena Tebuk Blog Mummy Ida
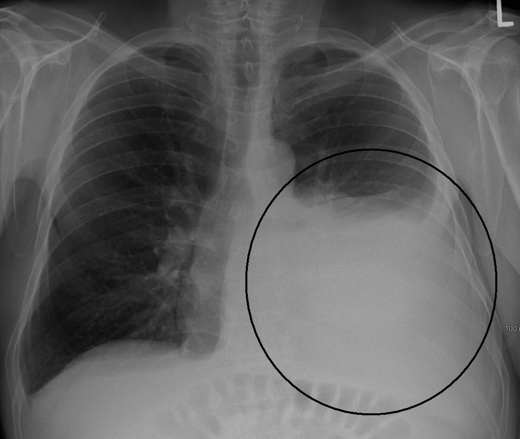
Khairul Hafidz On Twitter Boleh Lihat Gambar Utk Paru Berair Paru Berair Adalah Komplikasi Patologi Bukan Krn Mandi Mlm Perangmelawanmitos Https T Co Kjrijmkxqd
Paru Paru Berair Mintak Pendapat Korang Semua Carigold Forum
Paru Paru Berair Ubat Supaya Dah Tak Perlu Tebuk Paru Paru